Přejít na obsahovou část stránky

Carriere distalizátory

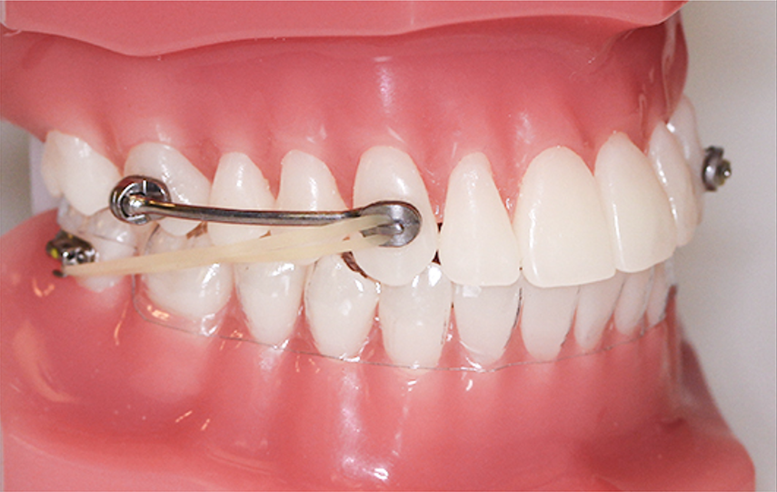
1. Co je systém Carriere?

Systém Carriere je ortodontická aparatura určená ke korekci skusu, obvykle před nasazením fixních rovnátek. Skládá se z kovových nebo keramických výztuh (distalizérů), které se lepí na špičáky a stoličky v horní nebo dolní čelisti. Pomocí elastických gumiček propojených s protilehlými zuby pomáhá přesouvat postranní zuby dozadu a upravit skus. Často se tak vyhneme nutnosti extrahovat zuby v zubním oblouku.

2. Postup lepení systému Carriere – lepení systému Carriere je rychlé a bezbolestné, obvykle trvá přibližně 30 minut. Postup zahrnuje:

  • Příprava zubů – Ortodontista důkladně vyčistí a osuší povrch zubů.
  • Aplikace lepidla – Speciální dentální lepidlo se nanese na špičáky a stoličky.
  • Připevnění distalizéru – Kovový nebo keramický aparát se přilepí a zafixuje pomocí UV lampy.
  • Nasazení háčků a elastických gumiček – Na dolní čelisti se připevní speciální háčky, které slouží k upevnění gumiček.
  • Instrukce k nošení – Ortodontista vysvětlí správné nasazení a výměnu elastických gumiček.

3. Pokyny k nošení a údržbě – pro dosažení nejlepších výsledků je důležité dodržovat pokyny:

  • Nepřetržité nošení gumiček – Gumičky by měly být nošeny 22 hodin denně, sundávejte je pouze při jídle a čištění zubů. Stabilizační folii vždy ukládejte do krabičky, je průhledná a snadno dojde ke ztrátě.
  • Pravidelná výměna gumiček – Gumičky se natahují nejčastěji mezi horní Carriere aparát a dolní háčky. Je důležité je měnit alespoň 3–4× denně, protože v ústěch ztrácejí elasticitu.
  • Čistění aparátu – Používejte měkký kartáček a mezizubní kartáčky k čištění mezi aparátem a zuby. Vždy nasazujte čistou dlahu na čisté zuby (pod dlahu se nedostává slina, která chrání sklovinu, nedokáže "omývat" sklovinu).
  • Vyvarujte se tvrdých a lepkavých jídel – Karamely, žvýkačky a tvrdé potraviny mohou aparát poškodit.
  • Kontroly – Obvykle každé 4–6 týdnů, kdy se sleduje pokrok a v případě potřeby upravuje léčba.

4. Praktické rady

  • První dny může být cítit tlak – Mohou pomoci analgetika (ibuprofen).
  • Mějte vždy u sebe náhradní gumičky – Pokud se gumička přetrhne, vyměňte ji.
  • Používejte ortodontický vosk – Pokud aparát dráždí tváře, aplikujte vosk na ostré hrany.
  • Trpělivost je klíčová – Carriere systém zkracuje dobu léčby, ale je důležité důsledně dodržovat pokyny ortodontisty.

Díky správnému dodržování instrukcí může být léčba efektivnější a pohodlnější! 😊

ANCHOR_TOP_TITLE

Tento web využívá cookies

Pro chod webu jsou nezbytně aktivovány esenciální soubory cookies. Pro plnohodnotné poskytování služeb, personalizaci reklam a analýzu návštěvnosti jsou však nutné povolit i volitelné cookies. Kliknutím na následující tlačítko, je zapnete. Zobrazit podrobnosti

Nastavení cookies

Vaše soukromí je důležité. Můžete si vybrat z nastavení cookies níže. Zobrazit podrobnosti