Přejít na obsahovou část stránky

Co to je ortodoncie a čím se zabývá

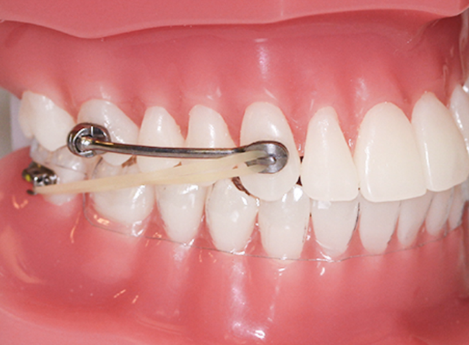
Ortodoncie je specializovaný obor stomatologie, který se zaměřuje na diagnostiku, prevenci a léčbu nesprávného postavení zubů a čelistí. Jejím hlavním cílem je dosažení správného skusu, estetického vzhledu a funkční harmonie zubního oblouku.

Po absolvování 3 letého studia na akreditovaném pracovišti (v ČR pouze fakultní nemocnice) se skládá atestační zkouška. Poté může ortodontista samostatně vykonávat tento obor.

Čím se ortodoncie zabývá?

  • Korekce malokluze (vadného skusu) – Řeší problémy, jako je předkus, hluboký skus, otevřený skus nebo zkřížený skus.
  • Rovnání křivých zubů – Napomáhá správnému postavení zubů a jejich lepší funkci.
  • Léčba čelistních vad – V případě nesprávného růstu čelistí může ortodoncie pomoci v kombinaci s chirurgickým zákrokem.
  • Prevence a včasná léčba – Ortodontická léčba u dětí a dospívajících může zabránit komplikacím v dospělosti.
  • Zlepšení žvýkání, mluvení a dýchání– Správně postavené zuby a čelisti přispívají k efektivnímu kousání a artikulaci.
  • Zlepšení ústního zdraví – Rovné zuby se snáze čistí, což snižuje riziko zubního kazu a onemocnění dásní.
  • Léčba čelistních vad – V případě nesprávného růstu čelistí může ortodoncie pomoci v kombinaci s chirurgickým zákrokem.
  • Prevence a včasná léčba – Ortodontická léčba u dětí a dospívajících může zabránit komplikacím v dospělosti.
  • Zlepšení žvýkání, mluvení a dýchání– Správně postavené zuby a čelisti přispívají k efektivnímu kousání a artikulaci.
  • Zlepšení ústního zdraví – Rovné zuby se snáze čistí, což snižuje riziko zubního kazu a onemocnění dásní.

Rovné zuby hrají klíčovou roli ve třech hlavních oblastech:

  1. Čištění a ústní hygiena
    •    Rovné zuby se lépe čistí, protože mezi nimi nejsou těsné mezery nebo křivé převisy, kde by se mohly hromadit bakterie a plak.
    •    Snazší přístup k mezizubním prostorům zvyšuje účinnost kartáčku a dentální nitě, čímž se snižuje riziko zubního kazu a zánětu dásní.

  2. Estetika a sebevědomí
    •    Úsměv s rovnými zuby působí harmonicky a přirozeně, což pozitivně ovlivňuje první dojem i celkovou sebedůvěru člověka.
    •    Mnoho lidí se s rovným chrupem cítí jistější v sociálních a profesních situacích.
  3. Správná výslovnost a funkce zubů
    •    Nesprávné postavení zubů může ovlivnit výslovnost některých hlásek (např. „s“, „z“, „r“), což může vést k řečovým vadám.
    •    Rovné zuby také pomáhají rovnoměrně rozložit tlak při kousání a žvýkání, což snižuje opotřebení skloviny a zatížení čelistního kloubu.
ANCHOR_TOP_TITLE

Tento web využívá cookies

Pro chod webu jsou nezbytně aktivovány esenciální soubory cookies. Pro plnohodnotné poskytování služeb, personalizaci reklam a analýzu návštěvnosti jsou však nutné povolit i volitelné cookies. Kliknutím na následující tlačítko, je zapnete. Zobrazit podrobnosti

Nastavení cookies

Vaše soukromí je důležité. Můžete si vybrat z nastavení cookies níže. Zobrazit podrobnosti