Přejít na obsahovou část stránky

zká horní čelist (tzv. maxilární hypoplazie nebo transverzální deficience maxily) může mít různá zdravotní, estetická i funkční rizika. Způsobuje podle závažnosti jednostranně nebo oboustranně zkřížený skus. Často dochází k uchylování dolní čelisti do strany tak, aby dotyčný jedinec rozmělnil potravu. Tím dochází k vychýlení čelistních kloubů (jediný "dvojkloub" v těle - pravá a levá strana pracují spolu a vzájemně se ovlivňují), dochází k rozvoji asymetrie dolní třetiny obličeje a vzniku asymetrie tvaru kloubních hlavic (reakce na odchylné postavení hlavic v jamce).  

Rizika úzké horní čelisti:

  1. Ortodontické problémy
    • Zkřížený skus (dolní zuby překusují horní)
    • Zuby se nevejdou do zubního oblouku → křivé, stěsnané zuby
    • Problémy se správným růstem čelistí
  2. Funkční obtíže
    • Zhoršené žvýkání a artikulace
    • Bolesti čelistních kloubů (TMJ poruchy)
    • Zuby jsou zatěžovány mimo svoji osu
  3. Dýchací potíže
    • Zúžené nosní cesty → obtížné nosní dýchání
    • Zvýšené riziko spánkové apnoe (zejména u dětí)
    • Chrápání
  4. Estetické dopady
    • Vpadlý vzhled horní čelisti a střední etáže obličeje
    • Nevyvážený obličejový profil

Možnosti úpravy úzké horní čelisti

  1. Ortodontická expanze (rozšíření)
    • Nejčastější metoda u dětí a dospívajících
    • Používají se: Rychlý patrový expander (RPE) – hyrax: kotvený na zuby postranního úseku chrupu; rozšiřuje horní čelist pomocí šroubu (funguje u dětí do cca 10–11 let, mají měkké a poddajné vazivo patrového švu). 
    • Nutná pravidelná kontrola u ortodontisty
  2. Skeletálně kotvený hyrax
    • Stejný princip expanze, ale tlak síly na patrový šev není veden přes zuby, ale přímo na patrové kosti. Tím odpadá riziko vyklonění postranních zubů mimo kost a vznik krčkových defektů v této oblasti. Indikovaný od 12 let. Přibližně od tohoto věku je patrový šev "tuhý" a síla vedená přes zuby by vyklonila zuby (někdy až mimo kost-riziko vzniku odhalených krčků a další s tím spojené problémy parodontu) a patro jako takové by zůstalo úzké. 
    • Kombinace chirurgického zákroku a expanderu.
    • U starších pacientů (cca od 19 let) se někdy pro úspěšnost expanze chirurgicky naruší oblasti spojující horní čelist se zbytkem lebky (zesílené kostní pilíře) – tzv. kortikotomie.
    • Nutné pravidelná kontroly u ortodontisty.
  3. Ortognátní chirurgie
    • V případech, kdy je kromě šířky problém i s délkou nebo výškou čelisti.
    • Posunutí horní čelisti (Le Fort I osteotomie).
    • V kombinaci s ortodontickou léčbou.
  4. Myofunkční terapie
    • Pomáhá zlepšit funkci svalů kolem úst, jazyka a dýchání.
    • Podpora ortodontické léčby, zejména u dětí do cca 6 let.

Kdy je nejlepší začít s léčbou?

  • Největší účinnost má v ranném dětství, kdy je čelist ještě tvárná.
  • U dospělých jsou možnosti omezenější a často vyžadují chirurgickou intervenci.

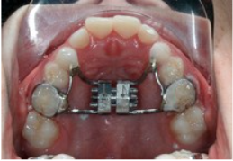
Rozlišujeme dva druhy hyraxu: Klasický a Skeletální. 

Léčba klasickým hyraxem u dětí

Hyrax (rychlošroubový patrový expandér) je ortodontická pomůcka používaná k rozšíření horní čelisti u dětí a dospívajících. Tento aparát využívá princip ortopedické expanze, která působí na šev tvrdého patra a umožňuje jeho postupné rozšíření.

Indikace léčby hyraxem

Hyrax je doporučován u dětí s následujícími ortodontickými vadami:

  • Zkřížený skus (transverzální maxilární nedostatečnost) – Stav, kdy je horní čelist užší než dolní, což vede ke špatnému skusu a estetickým i funkčním problémům.
  • Vysoké a úzké patro – Může způsobovat nejen ortodontické vady, ale také dýchací problémy, například chronické dýchání ústy nebo chrápání, příp. logopedické problémy.
  • Nedostatek místa pro prořezání zubů – Hyrax může pomoci vytvořit dostatek prostoru pro stálé zuby, čímž snižuje riziko nutnosti extrakcí.
  • Příprava na ortognátní chirurgii – V některých případech je expanze horní čelisti nutná před plánovaným chirurgickým zákrokem.

Průběh léčby hyraxem

  1. Diagnostika a plánování
    • Ortodontista provede klinické vyšetření, otisky čelistí a rentgenové snímky (např. CBCT), aby posoudil potřebu expanze.
    • Na základě výsledků je zhotoven individuální hyrax aparát.
  2. Nasazení aparátu
    • Hyrax je fixně připevněn na stálé zuby pomocí kroužků nebo pryskyřičných valů na postranní zuby.
    • Uprostřed aparátu se nachází šroub, který pacient nebo rodič aktivuje podle pokynů ortodontisty.
  3. Fáze aktivní expanze (2–4 týdny)
    • Šroub se otáčí obvykle 1–2krát denně, čímž se čelist postupně rozšiřuje.
    • Během této fáze se může objevit tlak nebo mírná bolest, ale obvykle rychle ustoupí.
    • Mezi horními řezáky se vytvoří mezera (diastema), což je běžný a dočasný jev.
  4. Stabilizační fáze (3–6 měsíců)
    • Po dosažení požadovaného rozšíření se aktivace zastaví, ale aparát zůstává v ústech, aby se čelist stabilizovala a zabránilo se relapsu. V průběhu osifikace vaziva patrového švu se spolu s kostí k sobě přiblíží opět horní řezáky, diastema vymizí a získané místo se přesune do oblasti postranních řezáků a špičáků. 
  5. Odstranění aparátu
    • Po ukončení léčby se hyrax sejme a  nasazuje se retenční aparát, aby se výsledek dlouhodobě stabilizoval. Postranní zuby si dojedou do skusu s antagonisty a tím se zajistí trvalý efekt expanze.

Možné komplikace a vedlejší účinky:

  • Nepohodlí a tlak v prvních dnech po aktivaci.
  • Dočasné potíže s mluvením a polykáním kvůli objemnosti aparátu.
  • Podráždění dásní nebo sliznice při nedostatečné hygieně.
  • Asymetrická expanze v případě nesprávné aktivace nebo anatomických odlišností čelisti.

Léčba hyraxem je nejúčinnější u dětí v období růstu (6–11 let), kdy je šev tvrdého patra stále poddajný. Čím dříve je expanze provedena, tím lepší jsou výsledky a tím nižší je pravděpodobnost nutnosti chirurgického řešení v dospělosti.

hyrax-klasicky

Léčba skeletálním hyraxem

Skeletální hyrax je typ rychlošroubového patrového expandéru, který se používá k rozšíření horní čelisti u pacientů s těžší transverzální nedostatečností. Na rozdíl od klasického hyraxu, který je fixován na zubech, je skeletální hyrax kotven přímo do kosti horní čelisti pomocí miniimplantátů (tzv. MARPE – Miniscrew-Assisted Rapid Palatal Expansion). Tento způsob léčby je efektivní zejména u dospívajících a dospělých pacientů, kde již nelze dosáhnout expanze pouze dentálně.

Indikace léčby skeletálním hyraxem

Skeletální hyrax je vhodný zejména pro pacienty s následujícími problémy:

  • Těžká transverzální nedostatečnost maxily – Výrazně úzká horní čelist vedoucí ke zkříženému skusu a estetickým problémům.
  • Asymetrie obličeje – Nerovnoměrný růst čelistí, který může způsobovat estetické i funkční komplikace.
  • Dospívající a dospělí pacienti – U starších pacientů již není možné rozšířit šev patra pouze pomocí klasického hyraxu, protože čelistní šev je osifikovaný a tlak na zuby by příliš vyklonil zuby ven mimo kost a zvýšilo by se riziko stažení dásní a kosti z krčků a následně odhalení zubních krčků. Patro jako takové pak zůstává nezměněno. 
  • Obstrukční spánková apnoe (OSA) – V některých případech může být expanze horní čelisti součástí léčby spánkové apnoe zlepšením nosního dýchání.
  • Příprava na ortognátní chirurgii – MARPE může být součástí předoperační přípravy pro komplexní ortodonticko-chirurgickou léčbu.

Průběh léčby skeletálním hyraxem

  1. Diagnostika a plánování
    • Ortodontista provede vyšetření včetně rentgenového snímku (CBCT), aby zjistil míru osifikace patrového švu a naplánoval správnou léčbu. Změří šířku baze čelistních kostí a naplánuje potřebnou expanzi.
    • Na základě vyšetření (CT a skeny čelistí) je navržena individuální konstrukce skeletálního hyraxu.
  2. Chirurgické zavedení miniimplantátů
    • Hyrax se upevňuje na čtyři miniimplantáty, které jsou zavedeny do patrové kosti.
    • Celý zákrok trvá přibližně 30 minut. Lze zavádět v celkové anestezii, zvláště při nutnosti osteotomií (narušení kostí pro výraznější expanzi). 
  3. Aktivní fáze expanze (3–4 týdny)
    • Pacient pravidelně otáčí šroubem (obvykle 1–2krát denně), čímž dochází k postupnému rozšiřování horní čelisti.
    • Během této fáze se může objevit tlak v oblasti horní čelisti a nosu.
    • Vznik mezery mezi horními řezáky (diastema) je běžný a naznačuje úspěšnou expanzi.
  4. Stabilizační fáze (4–6 měsíců)
    • Po dosažení požadované expanze se aktivace zastaví a hyrax zůstává na místě (většinou 1 rok), aby se nově vytvořená kost stabilizovala.
  5. Odstranění aparátu
    • Po ukončení léčby je hyrax odstraněn (obvykle se ponechává v ústech cca 1 rok) a pacient může během toho podstupovat ortodontickou terapii (např. fixními rovnátky).

Výhody skeletálního hyraxu

  • Účinný i u starších pacientů – Na rozdíl od klasického hyraxu dokáže rozšířit horní čelist i po osifikaci patrového švu. Někdy je nutné chirurgicky rozrušit tvrdé části kosti horní čelisti, aby byla jistota úspěchu expanze.
  • Skeletální expanze – Oproti dentálně kotveným expandérům dochází k rozšíření čelistní kosti, nikoliv pouze naklonění zubů.
  • Minimalizace negativních účinků na zuby – Nezpůsobuje sklonění molárů ani nežádoucí vedlejší pohyby zubů.
  • Zlepšení nosního dýchání – Expanzí čelistní kosti se zvětšuje objem nosní dutiny, což pomáhá při dýchacích obtížích.

Nevýhody a možné komplikace

  • Invazivní zákrok – Vyžaduje chirurgické zavedení mini implantátů do patrové kosti.
  • Počáteční nepohodlí – Bolest a tlak v oblasti čelisti a nosu jsou běžné v prvních dnech po aktivaci.
  • Riziko selhání miniimplantátů – U některých pacientů se implantáty nemusí správně integrovat do kosti a je nutné léčbu přehodnotit.
  • Cena – Léčba skeletálním hyraxem bývá finančně náročnější než klasický hyrax.

Skeletální hyrax představuje moderní a účinnou metodu rozšíření horní čelisti u pacientů, kde už nelze použít tradiční ortodontické metody. Díky své schopnosti působit přímo na kostní strukturu přináší dlouhodobě stabilní výsledky bez negativního vlivu na sklon zubů.

ANCHOR_TOP_TITLE

Tento web využívá cookies

Pro chod webu jsou nezbytně aktivovány esenciální soubory cookies. Pro plnohodnotné poskytování služeb, personalizaci reklam a analýzu návštěvnosti jsou však nutné povolit i volitelné cookies. Kliknutím na následující tlačítko, je zapnete. Zobrazit podrobnosti

Nastavení cookies

Vaše soukromí je důležité. Můžete si vybrat z nastavení cookies níže. Zobrazit podrobnosti