Přejít na obsahovou část stránky

Ovlivnění růstu střední etáže obličeje pomocí Bollard tahů

Bollard tahy představují moderní metodu ortopedické léčby skeletálních vad střední etáže obličeje. Využívají skeletální kotvení pomocí miniimplantátů (tzv. Bollard plates), které umožňují ovlivnit růst horní čelisti u rostoucích pacientů.

Indikace léčby Bollard tahy

Terapie je doporučována zejména u pacientů s:

  • Těžkou maxilární retrognaci (hypoplazií maxily) – nedostatečný růst horní čelisti.
  • Skeletální třídou III podle Angleho – dolní čelist je výrazně vpředu vůči horní.
  • Obstrukční spánkovou apnoí (OSA) u dětí – maxilární hypoplazie může vést k obstrukci dýchacích cest, kterou lze zlepšit protrakční terapií.
  • Přípravou na ortognátní chirurgii – předoperační léčba může snížit rozsah nutného chirurgického zákroku v dospělosti.

Průběh léčby Bollard tahy

  1. Diagnostika a plánování
    • Klinické vyšetření, fotografická dokumentace, rentgenové snímky (CBCT) a otisky čelistí.
    • Stanovení rozsahu a směru tahových sil.
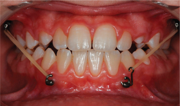
  2. Chirurgické zavedení implantátů
    • Bollard plates se zavádějí do horní čelisti v oblasti prvních molárů a do dolní čelisti před špičáky.
    • Zákrok probíhá v lokální nebo celkové anestezii.
  3. Aktivní tahová fáze (6–18 měsíců)
    • Po zhojení implantátů (4–6 týdnů) se nasazují elastické tahy mezi horní a dolní implantáty.
    • Někdy je nutný snímatelný aparát pro odblokování skusu.
    • Elastické síly stimulují růst maxily vpřed a ovlivňují celkový růst střední etáže obličeje.
    • Pacient pravidelně dochází na kontroly, kde se upravuje intenzita tahů.
  4. Stabilizační fáze
    • Po dosažení cíle se tahy odstraní, ale implantáty mohou zůstat pro případnou další léčbu či fixaci výsledků.

Výhody Bollard tahů

  • Skeletální kotvení – síly působí přímo na kost a poskytují stabilnější efekt než obličejová maska.
  • Možnost léčby těžkých skeletálních vad bez časné ortognátní operace.
  • Zlepšení nosního dýchání – posun maxily vpřed může rozšířit dýchací cesty.
  • Kombinace s ortodontickou léčbou – vhodné i při léčbě fixními rovnátky.

Nevýhody a možné komplikace

  • Nutnost chirurgického zákroku při zavedení implantátů.
  • Bolest a nepohodlí v prvních dnech po aktivaci.
  • Riziko selhání implantátů (nedostatečná integrace do kosti).
  • Dlouhá doba léčby (měsíce až roky, podle věku a závažnosti vady).
  • Vyšší finanční náročnost oproti konvenční léčbě.

Bollard tahy jsou efektivní metodou ovlivnění růstu střední etáže obličeje u dětí a dospívajících s těžkou maxilární hypoplazií. Poskytují stabilní výsledky díky skeletálnímu kotvení, ale vyžadují chirurgický výkon a dlouhodobé sledování.

ANCHOR_TOP_TITLE

Tento web využívá cookies

Pro chod webu jsou nezbytně aktivovány esenciální soubory cookies. Pro plnohodnotné poskytování služeb, personalizaci reklam a analýzu návštěvnosti jsou však nutné povolit i volitelné cookies. Kliknutím na následující tlačítko, je zapnete. Zobrazit podrobnosti

Nastavení cookies

Vaše soukromí je důležité. Můžete si vybrat z nastavení cookies níže. Zobrazit podrobnosti